Der Spreizfuss – Ursachen, Folgen und moderne chirurgische Therapiekonzepte
Der Spreizfuss ist eine der häufigsten erworbenen Vorfussfehlstellungen im Erwachsenenalter und stellt in der orthopädisch-chirurgischen Praxis einen zentralen Ausgangspunkt zahlreicher weiterer Deformitäten dar. Anders als oft angenommen handelt es sich dabei nicht nur um ein funktionelles oder kosmetisches Problem, sondern um eine biomechanisch relevante Instabilität des Vorfusses, die unbehandelt zu chronischen Schmerzen, Gangstörungen und komplexen Folgefehlstellungen führen kann.
1. Was ist ein Spreizfuss?
Beim gesunden Fuss bilden die fünf Mittelfussknochen ein stabiles Quergewölbe. Die Hauptlast wird über drei definierte Punkte abgeleitet: Ferse, erster und fünfter Strahl. Beim Spreizfuss kommt es zu einem Auseinanderweichen der Mittelfussknochen, insbesondere der zentralen Strahlen (II–IV), mit Absinken des Quergewölbes.
Die Folge ist eine pathologische Druckverlagerung auf Strukturen, die für Dauerbelastung nicht ausgelegt sind. Diese veränderte Statik bildet die Grundlage für Schmerzen (Metatarsalgie) und progressive Vorfussdeformitäten.
2. Ursachen und Pathomechanik
Der Spreizfuss ist in den meisten Fällen erworben. Häufige Ursachen sind:
- Band- und Bindegewebsinsuffizienz (altersbedingt oder genetisch)
- Muskuläre Dysbalance der intrinsischen Fussmuskulatur
- Chronische Überlastung (langes Stehen, Übergewicht)
- Unphysiologisches Schuhwerk (hohe Absätze, schmale Vorfussbox)
Mit dem Verlust der Quergewölbestabilität beginnt eine biomechanische Kettenreaktion: Der erste Strahl verliert seine tragende Funktion, der zweite und dritte Strahl übernehmen überproportional Last, während sich der Vorfuss insgesamt verbreitert.
3. Spreizfuss als Ursache von Hallux valgus und Digitus quintus varus
In der klinischen Praxis zeigt sich, dass der Spreizfuss häufig die mechanische Grundlage für die Entwicklung weiterer Vorfussfehlstellungen darstellt:
- Hallux valgus: Durch die Instabilität des Quergewölbes driftet der erste Mittelfussknochen nach medial, während die Grosszehe lateral abweicht.
- Digitus quintus varus (Schneiderballen): Die Verbreiterung des Vorfusses führt zu einer lateralen Abdrängung des fünften Strahls mit schmerzhafter Prominenz.
Wichtig aus chirurgischer Sicht: Isolierte Korrekturen einzelner Zehen ohne Berücksichtigung des Spreizfusses führen häufig zu Rezidiven. Eine nachhaltige Therapie erfordert daher ein ganzheitliches Konzept.
4. Symptome und klinische Warnzeichen
- Belastungsabhängige Schmerzen unter den Mittelfussköpfchen (Metatarsalgie)
- Schwielen, Hühneraugen, schmerzhaftes „durchgetretenes“ Fettpolster
- Breiter werdender Vorfuss mit zunehmenden Schuhkonflikten
- Verändertes Abrollverhalten und Gangbild
- Kombination mit Hammer- oder Krallenzehen
Spätfolgen unbehandelter Spreizfüsse können Morton-Neurome, Transfermetatarsalgien nach Voroperationen und degenerative Veränderungen im Lisfranc-Gelenk sein.
5. Diagnostik aus chirurgischer Sicht
Eine präzise Diagnostik ist entscheidend für die Operationsplanung:
- Klinische Untersuchung im Stand und Gang
- Belastungsröntgen des Vorfusses zur Beurteilung der Strahlenlängen und -achsen
- Pedobarographie zur objektiven Druckanalyse
- Beurteilung von Begleitdeformitäten (Hallux valgus, Digitus quintus varus, Zehenfehlstellungen)
6. Konservative Therapie – Grenzen klar erkennen
Einlagen mit Pelotten, Schuhmodifikationen und gezielte Fussgymnastik können Beschwerden lindern und das Fortschreiten verlangsamen. Eine anatomische Korrektur des Spreizfusses ist konservativ jedoch nicht möglich.
Persistieren Schmerzen oder schreiten Deformitäten fort, sollte frühzeitig eine operative Evaluation erfolgen, um komplexe Folgeschäden zu vermeiden.
7. Operative Therapie des Spreizfusses
Wann ist eine Operation sinnvoll?
- Anhaltende Metatarsalgie trotz adäquater konservativer Therapie
- Progrediente Vorfussverbreiterung mit Schuhkonflikt
- Kombinierte Fehlstellungen (Hallux valgus, Digitus quintus varus)
- Rezidivbeschwerden nach isolierten Zehenoperationen

Chirurgisches Grundprinzip
Ziel der Operation ist die Wiederherstellung einer funktionellen Vorfussstatik. Dies gelingt in der Regel nur durch kombinierte Eingriffe.
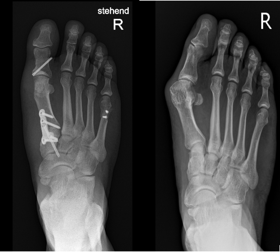
Die Weil-Osteotomie
Die Weil-Osteotomie ist ein etabliertes Standardverfahren zur Behandlung spreizfussbedingter Metatarsalgien:
- Gezielte Durchtrennung und Rückverlagerung des überlasteten Mittelfussknochens
- Druckentlastung der schmerzhaften Mittelfussköpfchen
- Fixation mit kleinen Schrauben
Kombinationseingriffe
In vielen Fällen wird die Weil-Osteotomie mit weiteren Korrekturen kombiniert:
- Operative Hallux-valgus-Korrektur
- Korrektur des Digitus quintus varus
- Sehnenbalancierende Eingriffe an den Zehen
Nur durch diese ganzheitliche Vorfusskorrektur lässt sich ein dauerhaft stabiles und schmerzfreies Ergebnis erzielen.
8. Nachbehandlung und Prognose
Postoperativ erfolgt die Mobilisation in einem Vorfussentlastungsschuh über etwa 4–6 Wochen. Die volle Belastbarkeit wird schrittweise aufgebaut. In der Regel ist nach ca. drei Monaten eine Rückkehr zu sportlichen Aktivitäten möglich.
Die Ergebnisse moderner chirurgischer Verfahren sind bei korrekter Indikationsstellung sehr gut, insbesondere wenn der Spreizfuss als Ursache der Gesamtproblematik konsequent
Hinweis zur Abbildung
Hier wird in einem nächsten Schritt eine prä- und postoperative Röntgenaufnahme integriert, welche die kombinierte Korrektur des Spreizfusses mit Hallux-valgus- und Digitus-quintus-varus-Operation veranschaulicht.
